Premium Phosphosite-Specific 7TM Antibodies
Novel Tools for Your GPCR Research
Select Your Country of Delivery below

GPR35 (non-phospho), G Protein-coupled Receptor 35 Antibody

Citations
NEW
CHF400.00 *

Prices plus VAT plus shipping costs

Ready to ship today,
Delivery time appr. 5-8 days

  • 7TM0102N
  • 100 µl
  • Rabbit
The non-phospho-GPR35 receptor antibody is directed against the distal part of the... more

The non-phospho-GPR35 receptor antibody is directed against the distal part of the carboxyl-terminal tail of human GPR35. It can be used to detect total GPR35 receptors in Western blots independent of phosphorylation. The non-phospho-GPR35 antibody can also be used to detect GPR35 in formalin-fixed, paraffin-embedded tissue sections by immunohistochemistry.

  Alternative Names GPR35, G-protein coupled Receptor 35 IUPHAR Target... more

 

Alternative Names GPR35, G-protein coupled Receptor 35
IUPHAR Target ID  102
UniProt ID  Q9HC97 (human), Q9ES90 (mouse)
Western Blot (WB)  1:1000
Immunohistochemistry (IHC) 1:100
Species Reactivity   Human, Mouse
Host / Isotype Rabbit / IgG
Class Polyclonal
Immunogen A synthetic peptide presents the carboxyl-terminal tail of human GPR35.
Form  Liquid
Purification Antigen affinity chromatography
Storage buffer Dulbecco's PBS, pH 7.4, with 150 mM NaCl, 0.02% sodium azide
Storage conditions short-term 4°C, long-term -20°C
Figure 1. Detection of non-phosphorylated human GPR35 Receptor.  Flp-In TREx 293... more

Figure 1. Detection of non-phosphorylated human GPR35 Receptor. Flp-In TREx 293 harbouring human GPR35-eYFP induced to express the receptor construct were treated with vehicle or 100 nM Lodoxamide for 5 min. Cells were lysed and receptor construct enriched with a GFP-trap, before immunoblotting with anti-non-phospho-GPR35 at a dilution of 1:1000 (upper panel) or anti-GFP 1:10,000 to confirm expression and equal loading of the gel (bottom panel).

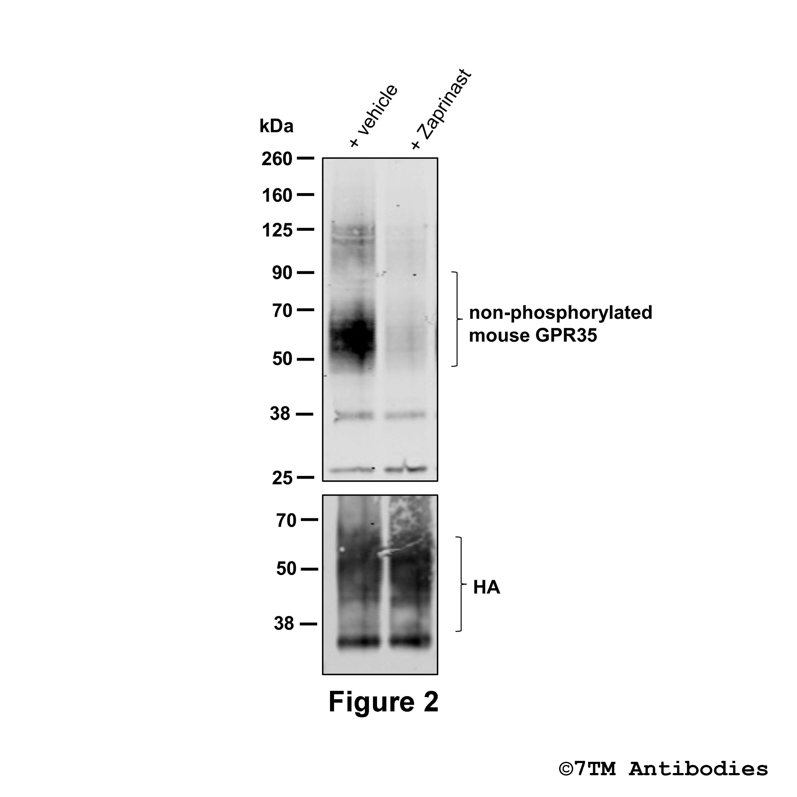
Figure 2. Detection of non-phosphorylated mouse GPR35 Receptor. Flp-In TREx 293 harbouring mouse GPR35-HA induced to express the receptor construct were treated with vehicle or 10 µM Zaprinast for 5 min. Cells were lysed and receptor construct enriched with an HA-trap, before immunoblotting with anti-non-phospho-GPR35 at a dilution of 1:1000 (upper panel) or anti-HA 1:10,000 to confirm expression and equal loading of the gel (bottom panel).

Figure 3. Immunohistochemical identification of GPR35 Receptor in human colon. Sections were dewaxed, microwaved in citric acid, and incubated with anti-GPR35 antibody (7TM0102N-IC) at a dilution of 1:100. Sections were then sequentially treated with biotinylated anti-rabbit IgG and avidin-biotin solution.Color was developed by incubation in 3-amino-9-ethylcarbazole (AEC), and sections were counterstained with hematoxylin. Note, GPR35 receptors were detected at the plasma membrane of epithel cells in human colon and in macrophages.

Figure 4. Immunohistochemical identification of GPR35 Receptor in Crohn's disease. Sections were dewaxed, microwaved in citric acid, and incubated with anti-GPR35 antibody (7TM0102N-IC) at a dilution of 1:100. Sections were then sequentially treated with biotinylated anti-rabbit IgG and avidin-biotin solution.Color was developed by incubation in 3-amino-9-ethylcarbazole (AEC), and sections were counterstained with hematoxylin. Note, GPR35 receptors were detected at the plasma membrane of epithel cells in human colon and in macrophages.

Figure 5. Immunohistochemical identification of GPR35 Receptor in human spleen. Sections were dewaxed, microwaved in citric acid, and incubated with anti-GPR35 antibody (7TM0102N-IC) at a dilution of 1:100. Sections were then sequentially treated with biotinylated anti-rabbit IgG and avidin-biotin solution.Color was developed by incubation in 3-amino-9-ethylcarbazole (AEC), and sections were counterstained with hematoxylin. Note, GPR35 receptors were detected in macrophages.

Figure 6. Immunohistochemical identification of GPR35 Receptor in gastric carcinoma. Sections were dewaxed, microwaved in citric acid, and incubated with anti-GPR35 antibody (7TM0102N-IC) at a dilution of 1:100. Sections were then sequentially treated with biotinylated anti-rabbit IgG and avidin-biotin solution.Color was developed by incubation in 3-amino-9-ethylcarbazole (AEC), and sections were counterstained with hematoxylin. Note, GPR35 receptors were detected at the plasma membrane of tumor cells in human gastric carcinoma.

Divorty N, Jenkins L, Ganguly A, Butcher AJ, Hudson BD, Schulz S, Tobin AB, Nicklin SA,... more

Divorty N, Jenkins L, Ganguly A, Butcher AJ, Hudson BD, Schulz S, Tobin AB, Nicklin SA, Milligan G. Agonist-induced phosphorylation of orthologues of the orphan receptor GPR35 functions as an activation sensor. J Biol Chem. 2022 Mar;298(3):101655. doi: 10.1016/j.jbc.2022.101655. Epub 2022 Jan 29. PMID: 35101446; PMCID: PMC8892012.

Read, write and discuss reviews... more
Customer evaluation for "GPR35 (non-phospho), G Protein-coupled Receptor 35 Antibody"
Write an evaluation
Evaluations will be activated after verification.

The fields marked with * are required.

Recently viewed